广谱抗癌药物,靶向NTRK/ROS1/ALK的多靶点抑制剂恩曲替尼(Entrectinib)让患者全身肿瘤缩小77%,NTRK检测怎么做
近十年来,靶向药逐渐异军突起,发展壮大,迅速成为肿瘤治疗界的“新宠”,大有取代放化疗手段的趋势。尤其是晚期肺癌的5年生存率已经提高了四五倍!据无癌家园的专家表示,相信在未来10年,我们能够通过努力把转移性肺癌当作一个慢性病来处理。
随着抗癌手段的不断更新,尤其是分子靶向药物等新一代治疗方法的出现,一类具有广谱作用的抗癌药物也逐渐崭露头角,其疗效犹如一潭死水中注入一汪清泉。
肺部20多处转移,服用Entrectinib病情逆转,3周病灶缩小,5个月脑转移消失
Z先生是一名46岁的营销主管,有30年的吸烟史,是个老烟枪。一切噩梦都发生在2013年去伦敦出差期间,那时他在跑步机上感到呼吸急促,随后被诊断出IV期肺腺癌,还有20多处转移灶,甚至癌细胞已经扩散到大脑。
这突如其来的变故让他意识到自己的肺早已经千疮百孔。由于是转移性肺癌,因此无法手术治疗,他只好听从医生的建议,采取多种化疗、靶向药手段治疗,甚至是热门的PD-1疗法,均对他无法奏效,病情依旧有进展。
别无他法,Z先生的健康状况每况愈下,最后被送至临终关怀医院。
幸运的是,在主治医生的建议下,他做了全基因组测序,最终发现了一个叫SQSTM1-NTRK1融合的罕见突变,并于2015年3月在马塞诸塞州总医院参加了STARTRK-1试验。

利用美国分子病理医师学会(AMP)方法(一种肺癌分子检测法)在非小细胞肺癌中检测到的SQSTM1-NTRK1融合转录本
有突变就有一丝希望,他顺利地入组针对这种突变的新药恩曲替尼(Entrectinib)的临床试验。

Z先生(左)及其主治医生
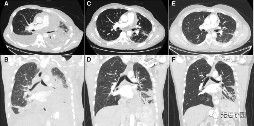
服药3周后,他的病情发生逆转!此前一直伴随的疼痛和呼吸困难症状消失了,全身的肿瘤缩小了46%。又坚持吃了5个月的药,全身肿瘤缩小了77%,之前转移到大脑处的癌细胞也没了!

患者对entrectinib的部分反应。entrectinib在第0-7天(基线扫描)、第26天(C、D)和第155天(E、F)时胸部的水平(A)和冠状位(B)图像。
这是NTRK融合阳性非小细胞肺癌的首次反应,也是使用NTRK抑制剂治疗后中枢神经系统转移性疾病的首次反应。
各类癌症出现NTRK融合的频率
目前已发现NTRK融合存在于超过25类癌症中,包括乳腺癌、结直肠癌、肺癌、甲状腺癌等,成人和儿童患者都可以使用。

如何检测NTRK基因
目前,有多种方法可用于检测NTRK基因融合,包括FISH、IHC、NGS和PCR检测。


由于在美国,Vitrakvi®(larotrectinib,拉罗替尼)可用于治疗患有NTRK基因融合但无已知获得性耐药性突变的转移性实体瘤患者。
因此,在2020年10月23日,拜耳宣布,美国食品药品监督管理局(FDA)已批准FoundationOne®CDx用作首个伴随诊断方法,以帮助鉴定可能适合使用Vitrakvi®(larotrectinib)治疗的神经营养受体酪氨酸激酶(NTRK)基因融合阳性患者。FoundationOneCDx是FDA批准的针对所有实体瘤的综合基因组分析(CGP)测试。
广谱抗癌药恩曲替尼横扫NTRK/ROS1/ALK靶点,有强悍透脑性
Entrectinib,中文名“恩曲替尼”,这款最新的靶向药已经在美国和日本上市。
刚才病例故事中,Z先生参加的就是恩曲替尼的临床试验招募。与以往靶向药最大的不同在于,恩曲替尼针对的靶点更多,这也意味着它能对症的癌症种类也增多了。

FDA批准的NTRK靶向药:拉罗替尼、恩曲替尼
药物好不好,数据来说话。恩曲替尼获得FDA批准上市,是基于多项临床研究的数据,包括II期研究STARTRK-2、I期研究STARTRK-1和I期研究ALKA-372-001等,纳入NTRK1/2/3、ROS1或ALK阳性的转移性或局部晚期肿瘤患者。
01、横跨十大癌种!高效抗脑转靶向药恩曲替尼势不可挡
2019年8月,FDA加速批准了全球第三款广谱“治愈系”抗癌药Entrectinib(Rozlytrek,恩曲替尼,RXDX-101)上市,用于治疗成人和儿童患者神经营养原肌球蛋白受体激酶(NTRK)融合阳性、初始治疗后局部晚期或转移性实体肿瘤进展或无标准治疗方案的实体瘤患者,以及ROS1阳性非小细胞肺癌(NSCLC)患者。
1)在NTRK融合阳性实体瘤患者中,entrectinib(恩曲替尼,RXDX-101)的客观缓解率ORR(肿瘤缩小)为57.4%,并且在横跨10种不同类型肿瘤中均观察到了客观缓解(肿瘤缩小)。存在脑转移的患者中,entrectinib的颅内客观缓解率ORR为54.5%,其中超过1/4实现完全缓解(病灶全部消失)。
2)在局部晚期或转移性ROS1阳性非小细胞肺癌NSCLC患者中,临床试验结果表明,在51名ROS1阳性NSCLC患者中,总缓解率达到78%,完全缓解率达到5.9%。
02、最新亚洲数据出炉:颅内病灶缓解率高达100%
2020年ESMO亚洲大会上,研究者最新公开了恩曲替尼治疗包括中国在内的亚洲患者的疗效数据分析结果,证实恩曲替尼对于亚洲患者取得了更令人振奋的积极结果。
这些患者都是NTRK和ROS1阳性晚期转移性非小细胞肺癌或其他实体肿瘤患者,有或无基线脑转移病灶。
【NTRK】
NTRK阳性的患者共13例(17.6%),包括乳腺癌(1例)、结直肠癌(2例)、非小细胞肺癌(4例)、乳腺样分泌腺癌(4例)、肉瘤(2例)。
其中,基线存在脑转移的患者整体缓解率75.0%(3/4),其中颅内病灶缓解率100%(3/3),这意味着炉内病灶全部缩小了。
基线未发生脑转移的患者整体缓解率66.7%(6/9);取得了临床缓解的患者中位缓解持续10.4个月,所有患者中位无进展生存期14.9个月。
【ROS1】
ROS1阳性的患者中共41例(43.6%),其中,基线存在脑转移的患者整体缓解率75.0%(15/20),其中颅内病灶缓解率41.2%(7/17),基线未发生脑转移的患者整体缓解率81.0%(17/21);取得了临床缓解的患者中位缓解持续14.9个月,所有患者中位无进展生存期13.6个月。

因此,这项研究的结果证实了传奇抗癌药恩曲替尼对于亚洲患者的疗效同样出众。
无癌家园临床招募
经过国内近半年的审批流程,近日,我们得到罗氏公司的信息,目前“治愈系”抗癌药恩曲替尼针对成人实体瘤的临床试验终于正式在国内开始招募患者了!
这意味着,国内的患者也终于有机会免费用上这款美国的抗癌“特药”!这对于所有国内的患者来说又多了一份“治愈”的希望!有意者可以咨询无癌家园医学部进行评估!
03、针对ALK阳性肺癌患者,恩曲替尼有效率为57%
针对ALK基因突变的肿瘤的数据仅限于I期试验,有关肺癌的研究数据仍在进行中。目前在7位ALK重排的肿瘤患者中有效率为57%,其中有5位患有肺癌,中位反应持续时间和中位无进展生存期分别为7.4个月和8.3个月。由于临床上对于ALK突变的阳性患者可选择的药物较多,恩曲替尼的优势还有待研究来验证。
目前全球对于NTRK药物的研发正在如火如荼地进行中,给更多患者带来新希望!无癌家园医学部特地为各位癌友们整理了目前正在招募的NTRK抑制剂的信息,希望给各位急于寻医问药的患者更多的治疗选择!

青出于蓝而胜于蓝,多款二代药、创新药不断涌现,未来可期
01、二代新药:瑞波替尼
在2019年6月举行的美国临床肿瘤学会年会(ASCO)上,一款横扫ALK/ROS1/NTRK三靶点的靶向新药Repotrectinib(瑞波替尼,TPX-0005)的数据惊艳四座。
Repotrectinib是美国TurningPointTherapeutics公司开发了一种新一代口服多靶点靶向药,对ALK、ROS1和NTRK都有抑制作用,能够克服多种对其他TKI产生抗性的基因突变,杀死携带ROS1、NTRK和ALK阳性的实体瘤。
在2019年ASCO大会上,研究者发表了其他ROS1抑制剂(TKI)与Repotrectinib治疗ROS1阳性非小细胞肺癌患者疗效的最新数据。
11例可评估的ROS1阳性NSCLC患者的总体缓解率为82%,令人兴奋的是,颅内反应率为100%,临床受益率为100%,超越目前所有的靶向药。有望成为超越上市明星产品Larotrectinib(拉罗替尼,LOXO-101)、Entrectinib(恩曲替尼,RXDX-101)的新一代广谱抗癌新星。
02、创新药:Taletrectinib
Taletrectinib(DS-6051b,国内代号AB-106)是一款由日本第一三共株式会社研发、我国葆元生物引进国内并开始进行Ⅱ期临床试验的创新药物。在此前美、日中心的Ⅰ期临床试验中,AB-106已经展现出了不错的潜力。
在2018年5月的Oncotarget上公开了日本中心研究的结果,在可评估的3例克唑替尼耐药患者中1例达到部分缓解,2例患者疾病稳定,整体缓解率33.3%;9例非克唑替尼耐药患者中,1例达到完全缓解,5例达到部分缓解,整体缓解率66.7%,疾病控制率100%。研究中共纳入了5例脑转移患者,其中1例患者的颅内病灶达到了临床完全缓解。
在2021年9月25日,同济大学附属上海市肺科医院周彩存教授在CSCO大会上分享了Taletrectinib(AB-106)研究的最新结果,即新一代强效ROS1/NTRK抑制剂治疗ROS1阳性非小细胞肺癌II期研究(TRUST研究)初步研究结果,卓越的数据令在座各位专家感到振奋,期待这款药物早日上市,为患者带了新的选择和希望。
(注:目前这项临床试验仍在招募中,做了基因检测的病友可以拿出报告看看,一旦存在ROS1融合,可以马上联系无癌家园医学部申请是否有机会接受新药治疗,看不懂的病友也可以致电无癌家园医学部解读报告。)
小编有话说
除了上述提到的两款不限癌种的抗癌药物外,目前多款针对NTRK的药物临床证实效果显著,并且都是广谱抗癌药物,对很多不同肿瘤都有效,因此需要提醒大家的是,即使是标准治疗方案失败,也可以尝试进行基因检测,一旦存在ALK、ROS1,NTRK1、NTRK2或者NTRK3基因融合,就可以尝试这些特效的广谱抗癌药。若想进行基因检测或了解更多国内外前沿癌症研究请持续关注无癌家园。
目前已经上市的多款广谱抗癌药:拉罗替尼、恩曲替尼、LOXO-292等仍在国内的招募仍在进行,由国内肿瘤领域权威的几家医院率先开展。以前这些美国研发上市的抗癌新药对于国内的患者来说遥不可及,近两年随着国家的重视,加快了各类抗癌药物研发上市的审批速度,让更多国外的新药好药,也能造福国内的癌症患者。希望这类广谱抗癌药物能尽快在国内完成临床试验,顺利上市,造福患者。
参考文献
https://www.researchgate.net/figure/



