钻石突变靶向药,晚期肺癌长生存超5年!这些"钻石"突变的患者有新药了
对于很多癌症患者来说,5年生存期都是一个“坎”。流行病学统计也以5年为界,随着医疗水平的发展,中国癌症患者5年生存率的统计数据一直在提升,近10年内从约30%提升到了约40%。
其中,靶向治疗与免疫药物在晚期癌症患者生存率的提升中发挥了不可忽视的重要作用。尤其在非小细胞肺癌的治疗中,依托靶向药物和免疫检查点抑制剂的发展,在越来越多新药的帮助之下,这5类患者已经能够实现5年的长期生存了!
哪些患者最有希望生存5年?他们都选择了哪些治疗方案?今天,病友们可以跟随全球肿瘤医生网医学部一起,了解一下这些疗效出众的靶向药。
约60%非小细胞肺癌的"救星"——EGFR
在中国患者群体中,EGFR是非小细胞肺癌最常见的驱动基因突变型之一,检出率最高可接近60%;同时,这也是疗效相对比较好的基因型之一。
针对EGFR突变型非小细胞肺癌,传统的序贯疗法思路是“13”或者“23”,即先使用第一代或第二代EGFR抑制剂,耐药(且出现耐药突变)后换用第三代。但随着第四代药物的研发以及奥希替尼耐药后治疗策略的发展,“34”、“33+”的思路也成为了可能。我们逐渐认识到,在一线治疗阶段首先为患者选择第三代EGFR抑制剂,可以使更多患者更长久地获益,且耐药之后也有机会再使用其它治疗方案或选择临床试验。
奥希替尼
奥希替尼是最经典的第三代EGFR抑制剂之一,根据近期发布的FLAURA试验长期随访数据,奥希替尼作为EGFR敏感突变非小细胞肺癌一线治疗方案,帮助多达31.1%的患者跨越了5年生存这个坎!
患者案例
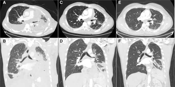
60岁的T女士,有大约6年的吸烟史,于2005年1月确诊右下叶肺癌,分期为Ⅳ期(cT4N1pM1a)。
T女士首先接受了6个周期的含铂双药化疗,于2005年11月复查进展。随后的活检显示患者存在EGFR外显子19缺失突变,接受了来那替尼(Neratinib,一款泛HER抑制剂,对于EGFR[HER1]与HER2都有一定的抑制效果)治疗,并在3个月后,因为严重的不良事件而停止。
随后,T女士接受了BMS-690514的临床试验。这是一款多靶点抑制剂,对于HER1/2/4以及VEGFR1~3都有抑制效果。整体来说,这一方案的疗效不错。但由于不良反应,T女士先后经历了减量、中断以及重新治疗,至治疗15个月后,T女士接受了减瘤手术治疗。随后,她又接受了5个月的BMS-690514治疗后停药。
1年后,T女士疾病复发,吉非替尼治疗1个月无响应,随后更换为厄洛替尼治疗方案。这一方案为T女士带来了3年的疾病稳定,至2013年10月,T女士接受了AZD-9291的临床试验——也就是我们非常熟悉的奥希替尼。
奥希替尼同样为患者带来了长久的缓解。至2015年1月随访时,也就是T女士确诊肺癌之后的第10年,她仍然保持着良好的缓解。
而奥希替尼及其它第三代EGFR抑制剂耐药后,患者有机会选择的新药方案、临床试验项目也非常多样化。
埃万妥单抗(JNJ-6372)
根据今年世界肺癌大会上公布的CHRYSALIS-2试验结果,埃万妥单抗+拉泽替尼+培美曲塞+卡铂方案治疗既往EGFR抑制剂耐药(其中70%的患者对奥希替尼耐药)的患者,整体缓解率为50%,中位无进展生存期为14.0个月。
也就是说,在耐药患者当中,又有一半的患者,肿瘤还能持续缩小14个月,一年多!
HER3-DXd
抗HER3也是奥希替尼耐药后的一种治疗方案。今年世界肺癌大会上,一款HER3靶点的抗体-药物偶联物(ADC)PatritumabDeruxtecan(HER3-DXd,U3-1402)更新了数据。在已经接受过了第三代EGFR抑制剂治疗及铂类化疗的患者中,HER3-DXd的整体缓解率为29.2%,疾病控制率72.7%;中位无进展生存期5.5个月,中位总生存期11.9个月。
BL-B01D1
BL-B01D1是一款双靶点ADC,同时靶向EGFR与HER3。目前公布的数据,对于靶向治疗耐药的EGFR突变非小细胞肺癌,BL-B01D1的整体缓解率为63.2%。
舒沃替尼
国产EGFR抑制剂舒沃替尼,在今年ASCO年会上公布的数据当中,用于治疗至少接受过一种EGFR抑制剂治疗(68.8%接受过第三代EGFR抑制剂治疗)的患者,整体缓解率为21.9%。
Dato-DXd
DatopotamabDeruxtecan(Dato-DXd,DS-1062)是一款Trop-2靶点的ADC,用于既往靶向治疗耐药(69%的患者曾经接受过奥希替尼治疗)的患者,整体缓解率达到了35%,中位缓解持续时间9.5个月。
申请这类临床试验需要满足什么条件呢?
●能够配合接受临床试验、使用新药;
●晚期非小细胞肺癌;
●携带EGFR突变,包括但不限于EGFRex20ins、C797S、G719X、S768I、L861Q等亚型。
疗效令人惊艳的"钻石"靶点ROS
ROS1与ALK,并称非小细胞肺癌的两大“钻石”突变。其中ROS1阳性在非小细胞肺癌当中的检出率大约为2%,既往治疗采用克唑替尼+劳拉替尼等方案的疗效尚可,但近年的几款新药彻底刷新了这部分患者的生存期。
恩曲替尼
恩曲替尼既是NTRK抑制剂也是ROS1抑制剂,在这两个靶点上疗效都很出色。尤其是在一项针对亚洲患者的研究当中,使用恩曲替尼治疗的患者中位无进展生存期达到了39.4个月;这意味着,仅仅依靠恩曲替尼一款药物,这些患者的病灶持续缩小、或者经过治疗不再增大的时间,超过了3年!

患者案例
72岁的Q先生,确诊时属于局部晚期肺腺癌,原发病灶活检提示存在ROS1基因重排。在随后的3年里,Q先生先后经过了根治性同步放化疗、复发、再行右上肺叶楔形切除术和右中肺叶切除术,第二次复发时仍为SLC34A2-ROS1融合突变,且不存在脑转移。
针对复发的疾病,Q先生接受了克唑替尼一线治疗。仅用药2个月,Q先生的肿瘤负荷就开始非常显著地降低。即使在因不良反应而降低了用药剂量(250mg每天两次,减为250mg每天一次)之后,Q先生仍然获得了非常稳定的缓解,持续时间已经超过了24个月!
瑞波替尼
瑞波替尼(TPX-0005,Repotrectinib)是新一代的ROS1抑制剂,对于前代靶向治疗耐药的患者疗效显著。
对于已经接受过1种靶向药物治疗、但未使用过化疗药物的患者,瑞波替尼治疗的整体缓解率为38%,中位缓解持续时间为14.8个月,中位总生存期为25.1个月;对于存在G2032R耐药突变(第一代ROS1抑制剂耐药后最常见的耐药突变类型之一)的患者,瑞波替尼治疗的整体缓解率为59%,中位缓解持续时间为7.6个月,中位无进展生存期为9.2个月。
如果能够实现恩曲替尼序贯瑞波替尼及其它治疗、也就是完成39.4个月+25.1个月的序贯治疗,理想状态下患者的生存期有望达到64.5个月,超过5年!
申请这类临床试验需要满足什么条件呢?
●能够配合接受临床试验、使用新药;
●晚期非小细胞肺癌;
●携带ROS1融合突变。
生存期有望超越7年的ALK
作为非小细胞肺癌的另一个“钻石”突变,ALK阳性的检出率大约为5%。这是一种对于非小细胞肺癌非常重要的基因型,检出率不算很高,但是接受靶向治疗的疗效非常好。
阿来替尼
2020年公布的阿来替尼的临床试验数据,这款药物用于一线治疗ALK阳性的晚期非小细胞肺癌,中位无进展生存期长达34.8个月,患者的5年生存率也达到了惊人的62.5%——也就是说,超过60%的ALK阳性患者,通过靶向治疗能生存5年!
劳拉替尼
在近期公布的CROWN试验长期随访报告当中,接受劳拉替尼一线治疗的ALK阳性非小细胞肺癌患者当中,多达63.5%的患者已经保持了超过3年的疾病无进展!按照研究人员的推断,劳拉替尼的一线治疗无进展生存期将有望超过60个月!
患者案例
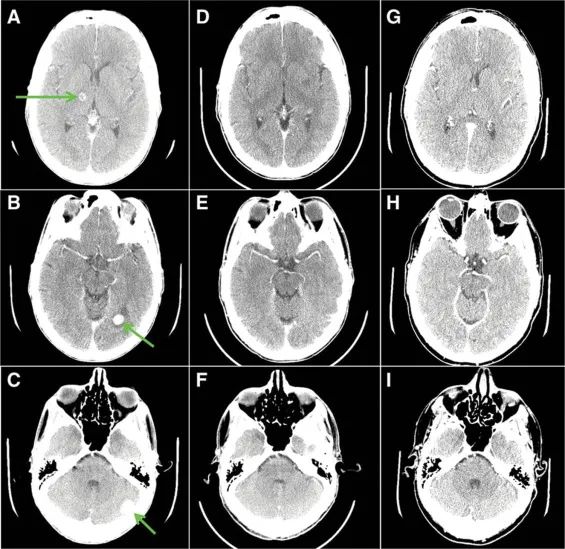
R先生确诊时非常年轻,仅仅26岁。检查结果证实他所患为ROS1阳性的肺腺癌,Ⅳc期(TxN2M1c),已经有骨等多个部位的广泛转移或浸润。
他一线使用了克唑替尼治疗,以及针对骨转移的放疗等处理措施。3个月后复查的MRI显示,R先生的脑内出现了17个转移病灶!
克唑替尼本身的入脑活性并不理想,R先生只能继续接受脑部的放疗(射波刀)来消除脑部病灶,并继续使用克唑替尼控制身体其他部位的肿瘤。整体来说疗效不错,病灶有比较明显的缩小。
然而,在克唑替尼治疗14个月后,R先生脑部的MRI扫描再次提示,出现了超过40个新的微转移病灶!
但是此时R先生的进展部位只有脑,身体其他部位的病灶仍然与之前相比有缩小,因此他换用了与克唑替尼同为第一代ROS1抑制剂、但治疗脑转移病灶效果更好的恩曲替尼。
恩曲替尼治疗持续了6个月,MRI检测显示R先生颅内的病灶增大且出现了新的病灶,但是身体其它部位的病灶仍有控制效果。经过研判,R先生接受了同情用药,开始使用当时尚未上市的劳拉替尼。
劳拉替尼属于第三代ALK抑制剂,由于对克唑替尼耐药后的患者也有不错的疗效,而同时归属于第二代ROS1抑制剂的范畴。治疗仅2个月之后,R先生脑内的病灶开始出现了缓解!
此前也有报道显示,ALK阳性非小细胞肺癌患者接受靶向治疗的中位总生存期可以达到4.3年;部分试验当中采用“13”序贯治疗方案时,患者的中位总生存期能够达到7年以上。
7年是什么概念?Ⅳ期非小细胞肺癌的5年生存率也才不到10%,也就是说,在现有的治疗水平下,只有大约10%的患者能够活过5年。对于ALK阳性患者来说,却有接近50%的概率能够达到这一点!
申请这类临床试验需要满足什么条件呢?
●能够配合接受临床试验、使用新药;
●晚期非小细胞肺癌;
●经检测为ALK阳性。
多类实体瘤"钻石"靶点NTRK
NTRK是一个实体瘤治疗的“钻石”靶点,在非小细胞肺癌的治疗当中同样有卓越的潜力。我们看过众多这类突变患者的案例,有些患者已经到了非常晚期,脑、全身多部位大量转移,结果凭借NTRK抑制剂的治疗强力逆转了病情。
拉罗替尼
根据近期公布的数据,拉罗替尼治疗NTRK融合阳性非小细胞肺癌患者的中位缓解持续时间长达33.9个月,中位无进展生存期为35.4个月,中位总生存期为40.7个月!
瑞波替尼
根据TRIDENT-1试验的数据,用于治疗NTRK抑制剂耐药的NTRK融合阳性晚期实体瘤患者,瑞波替尼的整体缓解率为48%。

患者案例
H先生罹患的是肺腺癌,几种常见的驱动基因突变(例如EGFR、ALK、ROS1等等)都是阴性,无缘各类疗效卓越的靶向治疗药物。他先后接受了卡铂+培美曲塞、派姆单抗、多西他赛和长春瑞宾方案的治疗,又一个个耐药。直到他等到了一项临床试验,病情终于逆转!
入组的时候,H先生已经发展到了胸壁疼痛、静息时呼吸困难的地步,即使不进行任何活动,也需要长期吸氧。头部CT可见15~20个脑转移病灶,没有症状。
他作为一名NTRK融合突变的受试者,参加了恩曲替尼的临床试验。开始治疗仅仅3周,H先生的疼痛与呼吸困难症状就明显消退,摆脱了呼吸机!
26天时复查的CT扫描显示,H先生的病灶足足缩小了47%;胸腔积液消退了,肺萎缩症状也有了缓解,各种症状体征都在向着好的方向发展;至155天复查的时候,H先生高兴地发现自己的癌症还在消退,与入组接受治疗之前相比,足足缩小了77%!
此外,入组之前就存在的那接近20个脑转移病灶,也全部消失了!

整体缓解率高、完全缓解率高、缓解持续时间长、患者从治疗中持续获益时间长,NTRK抑制剂完全符合患者对于一款靶向治疗药物的期待,再加上广谱抗癌的特性,也因此被称为“治愈系”的靶向药物。
申请这类临床试验需要满足什么条件呢?
●能够配合接受临床试验、使用新药;
●晚期非小细胞肺癌;
●携带NTRK1/2/3融合突变。
无驱动基因突变的患者应重视PD-L1
当然,在非小细胞肺癌当中,也有相当一部分患者,没能检测到任何一种可用于靶向治疗的驱动基因突变。对于这部分患者来说,免疫治疗就是比较理想的选择了。
提到免疫检查点抑制剂的优势,很多患者都会笼统地想起,这类药的疗效好、副作用少。但事实上,免疫治疗的优势绝不仅止于此。随着研究的深入,人们逐渐意识到,免疫治疗会“偏爱”一少部分的“幸运儿”,使他们拥有非常长久且无癌的生命。这样的特点表现在临床数据上,就成为了一个“长尾”——在同一项试验的统计数据中,生存超过3年、5年、甚至6年以上的患者比例,越来越趋于固定。
纳武单抗
根据一项长期随访数据,接受纳武单抗治疗的晚期非小细胞肺癌患者,4年、5年和6年生存率分别为17.86%、11.9%和10.7%。画成生存期图像,曲线最终趋于平稳。

纳武单抗+伊匹木单抗
在2023年世界肺癌大会上,研究者公布了CheckMate227试验随访6年时的数据。使用纳武单抗+伊匹木单抗(O+Y)一线治疗PD-L1表达比例≥1%的非小细胞肺癌患者,6年生存率高达22%。
派姆单抗
同样是在2023年世界肺癌大会上,研究者根据多项中国及日本的研究数据分析,发现使用派姆单抗+培美曲塞+顺铂/卡铂一线治疗PD-L1TPS1%的非小细胞肺癌患者,5年生存率为12.5%。
对抗癌症、长期生存不是幻想
对于晚期癌症患者来说,彻底清除癌症、完全治愈的希望很小,带瘤生存才是常态。癌症精准治疗,即靶向治疗与免疫治疗的发展,让患者荷瘤生存、高质量生存成为了可能。
很多选到了适合自己的靶向治疗药物的患者都反应,在治疗期间并没有出现不良事件,因癌症而导致的各种症状(如咳嗽咳血、胸水等等)也有了明显的减轻,生活质量、生活与工作能力几乎能够恢复到患病之前的良好状态。
肿瘤不进展、甚至一直缓慢地缩小,生活能够自理、体力也更加强健,这种情况下,患者自然也就觉得生活更有希望、生活质量更高;当前治疗经济负担不重,后续治疗也有系统的选择方案,对于病友们来说,这无疑是在与癌症“对抗”的路上,一次阶段性的胜利。
全球肿瘤医生网医学部已经帮助很多患者成功地申请了新药临床项目。希望寻求全新治疗方案的病友,可以将病历资料提交至全球肿瘤医生网医学部进行评估,或扫描下方条幅中二维码、下载「全球肿瘤医生」手机APP,获取全球新药信息及临床试验详细招募条件,在线提交病历资料进行申请。
每一粒新药都是一份希望,愿所有病友都能找到适合自己的治疗方案!







